Ramirez Victorio Erika Y, 15/11/86
25/09/25 12:07
- ANALISIS CLINICOS
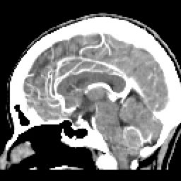
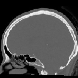
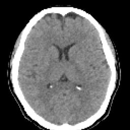
- RESUMEN TOMOGRAFIA
SIMPLE FINO (4) 129 images
HUESO FINO (5) 129 images
ARTERIAL FINO (7) 129 images
SIMPLE FINO COR (8) 91 images
SIMPLE FINO SAG (9) 75 images
ARTERIAL FINO COR (10) 90 images
ARTERIAL FINO SAG (11) 78 images
HUESO FINO COR (13) 90 images
HUESO FINO SAG (14) 75 images
HUESO FINO 3D (Creator:CT1) (100) 72 images